orthodontic treatment in garia, patuli

Orthodontic Treatment

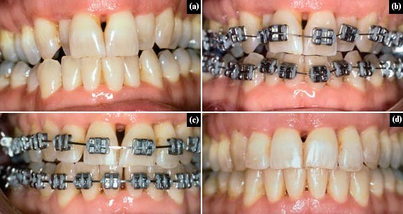
Orthodontic treatment is a specialized branch of dentistry that focuses on diagnosing, preventing, and correcting misaligned teeth and jaws. The primary goal of orthodontics is to improve oral function, aesthetics, and overall dental health.

🔹 What Does Orthodontic Treatment Involve?

Orthodontic treatment uses various devices—most commonly braces or aligners—to gradually move teeth into the desired position. This process helps correct:

  • Crooked or crowded teeth
  • Gaps between teeth
  • Overbites, underbites, crossbites, and open bites
  • Jaw alignment issues

🔹 Common Types of Orthodontic Appliances

1. Braces

  • Traditional Metal Braces: Stainless steel brackets and wires; highly effective for all types of cases.
  • Ceramic Braces: Tooth-colored brackets for a more aesthetic appearance.
  • Lingual Braces: Placed behind the teeth, hidden from view.

2. Clear Aligners (e.g., Invisalign)

  • Removable, nearly invisible trays.
  • Suitable for mild to moderate misalignment.

3. Palatal Expanders

  • Used to widen the upper jaw in children or adolescents.

4. Retainers

  • Worn after braces or aligners to maintain the teeth's new position.

Dental Bridges
best orthodontics in patuli,garia, kolkata

🔹 Benefits of Orthodontic Treatment

  • Improves the appearance of your smile.
  • Enhances oral function (biting, chewing, speaking).
  • Reduces risk of tooth decay and gum disease by making teeth easier to clean.
  • Prevents abnormal wear on teeth.
  • Helps in correcting jaw alignment and reducing jaw pain or TMJ disorders.

Who Can Benefit?

  • Children: Ideal age for initial evaluation is around 7 years (as recommended by the American Association of Orthodontists).
  • Teens: Common age group for braces.
  • Adults: Increasing number of adults opt for orthodontics, especially with discreet options like aligners.

Orthodontic treatment is a transformative investment in your oral health and self-confidence. If you're considering it, a consultation with a licensed orthodontist can help you choose the right approach based on your needs and goals.